老年骨质疏松患者再次发生骨折要怎么治疗?近日顺德和平外科医院,接诊到了一位因骨质疏松的根本原因,摔跤后第三次发生骨折的75岁高龄女性患者,并成功为其实施了微创骨水泥强化手术。
该案例再次凸显了老年骨质疏松性骨折的防治难点及微创手术的临床优势,也为骨质疏松骨折患者的防治提供了重要参考。

十年三“折”陷疼痛困境
患者梁阿姨(化名)4年前因外伤导致胸12椎体骨折,在外院接受了内固定手术,后又因术后(与胸12椎体相邻)腰椎不稳的情况,遂又行L1、L2骨水泥强化术。而后一直相安无事,也让患者和家属都掉以轻心的以为就此康复了。


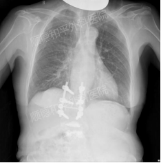
入院摄片检查可见以往内固定滞留、骨水泥强化痕迹
然而,岁月和骨质疏松疾病的双重考验并未就此结束。患者几天前再次不慎摔倒,也再次出现了严重的腰背疼痛,并且这次还伴有左侧臀部及双侧大腿根部持续性的放射疼痛,并逐渐加剧直至卧床难以起身,家属只得赶紧将老人送到我院骨科二区(脊柱外科)治疗。
微创技术破解传统治疗困局
通过CT检查发现,患者4年前的内固定的根部位置发生了变化,牵涉到了下方的神经根,引起了腰背疼痛;而核磁影像检查时还发现其左侧骶椎有水肿(摔跤着地部位),累及到臀部、髋关节前方的大腿根部放射性疼痛。


面对如此复杂的病情,骨二区团队在张哉炯主任的组织下,积极应对,并迅速且有序地制定了详细的治疗方案。
决定为患者实施了胸12椎体内固定拆除手术(松解胸椎钢性),并对骶椎部进行了骨水泥强化手术。术后,患者除了伤口些许疼痛外,两侧大腿根放射痛和左侧骶部疼痛明显减轻,已能自行下床如厕,生活质量得到了显著改善。

为什么会选择采用“微创骨水泥强化术”应对本次伤情呢?张哉炯主任指出,老年骨质疏松性骨折治疗需权衡疗效与风险。
传统保守治疗需绝对卧床6-8周,易引发感染、血栓等致命并发症;而开放性内固定手术,术中时间长、创伤大,术后康复也需卧床休息等弊端。而我院主张的“微创骨水泥强化术”具有创伤小、恢复快的特点,术后24小时即可下床活动,极大降低了并发症风险。


骨水泥“超微创口”参考
张主任强调,高龄患者首次骨折后,进行内固定或骨水泥强化处理,虽能较快速地稳定患处,但也会加剧相邻椎体的负荷(患处钢性增强)。
如若骨质疏松未得到控制,与之相邻的、健康的椎体,再与钢性增强的患处椎体发生碰撞后,哪怕轻微外力甚至日常动作都可能引发新骨折,也就是常说的“应力性骨折。”通俗来讲,骨头的质量下降了,就像失去了年轻时那种坚硬的状态,所以变得不堪一击。

因此,张哉炯主任呼吁骨质疏松患者:
规范抗骨质疏松治疗:定期检测骨密度,在医生指导下使用钙剂、维生素D及抗骨松药物;
2.生活方式干预:每日适度晒太阳,摄入牛奶、鱼类等富钙食物,坚持腰背肌锻炼;
3.严防跌倒:居家安装防滑设施,避免搬运重物,咳嗽时扶稳固定物。

顺德和平外科医院作为佛山地区知名的三级骨科医院,在骨科微创治疗方面积累了大量临床经验,并始终专注于骨质疏松性骨折的精准治疗与康复管理。
若家中老人出现腰背疼痛或行动障碍,请及时拨打我院热线【0757-27880251】,或前往骨科门诊筛查,早干预可避免病情恶化。

免责声明:市场有风险,选择需谨慎!此文仅供参考,不作买卖依据。